Understanding the Role of a Lung-Only Autopsy in Mesothelioma Diagnosis
When a loved one passes away under unclear or disputed medical circumstances, families often seek answers that traditional medical records cannot fully provide. In such cases, especially when asbestos exposure is suspected, a lung-only autopsy becomes an indispensable method for uncovering the truth. This targeted postmortem examination zeroes in on the lungs—the organs most directly affected by inhaled airborne toxins such as asbestos fibers. It provides definitive answers without the emotional burden or invasiveness of a full-body autopsy. This approach not only ensures dignity for the deceased but also supplies critical legal and medical clarity for surviving family members.
Mesothelioma is a rare and aggressive cancer that typically originates in the lining of the lungs. Its root cause is nearly always toxic exposure to asbestos, a fibrous mineral once widely used in construction, shipbuilding, and manufacturing. Diagnosing mesothelioma during life is challenging due to its nonspecific symptoms—persistent coughing, chest pain, and difficulty breathing—which are often mistaken for more common respiratory illnesses. By the time a diagnosis is reached, the disease is often in its late stages, and the opportunity for further medical clarification may have passed. A postmortem examination offers a second chance to uncover the truth, verify suspicions, and confirm the actual cause of death in cases involving occupational disease.
How Asbestos Exposure Leads to Malignant Mesothelioma
Asbestos exposure occurs when microscopic fibers become airborne and are inhaled. These fibers lodge deep within the pulmonary tissue and can remain there indefinitely.
Over the course of 20 to 50 years—a latency period that often delays both diagnosis and legal recourse—these fibers can trigger a slow but persistent inflammatory response that leads to DNA damage and, eventually, cellular mutations. These mutations give rise to malignant mesothelioma, a cancer that attacks the mesothelial cells lining the lungs and chest wall.
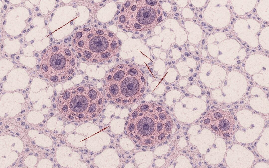
Lung-only autopsies are essential tools for mapping the pathological changes associated with asbestos-related illness. Through microscopic examination and specialized staining of lung tissue, forensic pathologists can observe hallmark signs such as pleural thickening, calcified plaques, and atypical mesothelial cell proliferation.
Steps Involved in a Lung-Only Autopsy
The procedure begins with the careful surgical removal of both lungs from the body. These organs are then preserved in a formalin solution to maintain tissue integrity. The medical examiner performs a gross inspection, weighing and documenting the condition of the lungs before slicing them into thin sections.
These sections are studied using advanced histopathological techniques, including hematoxylin and eosin staining, immunohistochemical labeling, and sometimes electron microscopy. This allows the pathologist to distinguish mesothelioma from other malignancies or benign pulmonary conditions.
The findings are compiled into a comprehensive report that lists the confirmed cause of death, details the presence and extent of mesothelioma, and includes any contributing factors. This report is frequently used in legal settings to support wrongful death or occupational exposure claims. For instance, an attorney may present the report to demonstrate that prolonged asbestos exposure at a specific job site directly led to the deceased’s illness, strengthening the family’s case for compensation. This report becomes critical in ongoing medical, familial, or legal evaluations.
Value of Autopsy Findings for Legal Professionals
In legal contexts, especially those involving wrongful death or personal injury claims related to asbestos exposure, lung-only autopsy findings are invaluable. Lawyers representing affected families rely on these findings to establish direct links between occupational exposure and death. The autopsy report serves as concrete, scientific evidence that meets court standards and often plays a decisive role in settlement negotiations or trial verdicts. It can prove not only the presence of mesothelioma but also the extent of disease progression, the duration of exposure-related damage, and the probable source of contamination—such as a former employer, contractor, or manufacturer. This clarity strengthens cases and can significantly impact compensation outcomes.
Medical Examiner’s Role in a Death Investigation
In regions like La Crescenta, California, the medical examiner operates at the intersection of medicine, law, and public health. For example, in Los Angeles County, which includes La Crescenta, medical examiners handled over 20,000 cases in a single year—many involving complex environmental or occupational factors. This statistic underscores the vital role these professionals play in identifying and addressing causes of death that may be tied to long-term toxic exposure, such as asbestos.
Their duty is to determine the medical cause of death and assess whether any external or occupational factors contributed to the outcome. In cases where asbestos-related illness is suspected, the medical examiner may advise a lung-only autopsy to provide detailed insight while minimizing bodily disruption. This approach is particularly suitable for families with cultural or religious sensitivities that may preclude a full autopsy.
The examiner collaborates with pathologists, toxicologists, and legal professionals to ensure that every piece of relevant information is collected, preserved, and accurately interpreted.
Challenges in Identifying Mesothelioma Postmortem
Diagnosing mesothelioma after death is not without its challenges. The cancer can mimic other diseases such as lung adenocarcinoma or fibrotic lung disease, which may lead to diagnostic ambiguity. Differentiating mesothelioma from other malignancies often requires a battery of diagnostic tools. Immunohistochemical markers like calretinin, WT1, and cytokeratin 5/6 are often used to confirm the mesothelial origin of tumor cells. In complex cases, additional analysis with electron microscopy may be required to examine the ultra-structural characteristics of the cells. Despite these complexities, when executed by experienced forensic pathologists, the lung-only autopsy remains one of the most precise methods available for determining asbestos-related cause of death.
Why Families Choose Lung-Only Autopsies
For many families, the decision to authorize a lung-only autopsy comes down to a need for truth balanced against the desire for minimal invasion. This method provides targeted insights without the discomfort of a full dissection. It’s particularly appealing when the suspected illness was respiratory in nature or occupationally linked.
Families grappling with the sudden loss of a loved one often find solace in knowing the exact cause of death. A confirmed diagnosis of mesothelioma can bring closure, validate prior suspicions, and empower families to hold responsible parties accountable. In many cases, these autopsies also help other family members recognize genetic or environmental risk factors that may impact their future health.
Lung-Only Autopsy as a Tool for Justice and Clarity
Lung-only autopsies serve several vital, interconnected roles. They deliver medical clarity by pinpointing the cause and progression of disease, provide legal documentation to substantiate claims related to toxic exposure, and offer emotional closure to grieving families.
By combining scientific rigor with legal relevance and personal comfort, these examinations meet the needs of multiple stakeholders with precision and compassion. Medically, they provide conclusive evidence of disease origin and progression. Legally, they offer undeniable documentation of the effects of toxic exposure. Emotionally, they grant families closure and direction.
In situations involving asbestos exposure and suspected mesothelioma, these examinations are not merely scientific exercises—they are instruments of truth and justice. They bridge the gap between uncertainty and resolution. For attorneys, the autopsy report is a cornerstone document. For pathologists, it is a critical diagnostic resource. And for families, it is often the final piece of a complex and painful puzzle.
How Lung-Only Autopsies Reveal the Truth About Mesothelioma
Lung-only autopsies offer a focused, respectful, and scientifically rigorous method for diagnosing malignant mesothelioma after death. Through detailed postmortem examination and advanced pulmonary tissue analysis, medical examiners can accurately trace the damage caused by decades of asbestos exposure. These findings are crucial for families seeking answers, for medical professionals refining diagnosis, and for legal teams building strong cases.
In communities like La Crescenta, California—where industrial legacy and occupational risk still leave a mark—the lung-only autopsy stands as a powerful tool in the pursuit of truth, accountability, and healing. Its role in death investigations and legal proceedings cannot be overstated, making it an essential option for families and professionals navigating the aftermath of asbestos-related illness.

